Testimonianze e casi studio di pazienti a Giulianova e Pescara
Studio Odontoiatrico Dott. Paolo Rasicci è un vero punto di riferimento a Giulianova e Pescara per trattamenti odontoiatrici di elevato standard qualitativo a prezzi concorrenziali. Grazie alla pluriennale esperienza  in ortognatodonzia, estetica dentale e odontoiatria pediatrica il Dott. Paolo Rasicci vanta una numerosa clientela. In questa sezione del sito è possibile visualizzare molteplici testimonianze e casi studio di pazienti curati dal Dott. Paolo Rasicci con ampia soddisfazione reciproca. Per visite specialistiche o per una valutazione del quadro clinico del cavo orale è possibile prenotare una visita nello studio di Giulianova o di Pescara. 
 Le testimonianze di Facebook
Lo Studio Ondontoiatrico Dott.Paolo Rasicci è molto apprezzato da una clientela molto variegata. In questa pagina potrete leggere i commenti e le testimonianze dei suoi pazienti ampiamente soddisfatti nei trattamenti ortodontici ricevuti. 
  
 Video Testimonianza
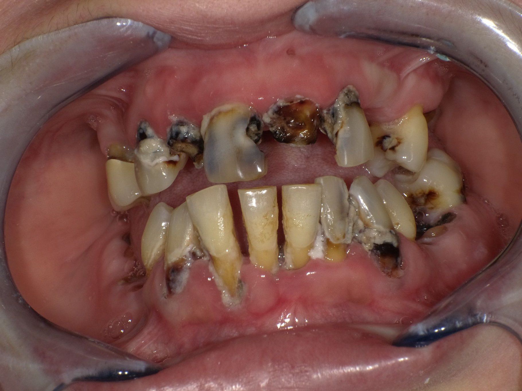
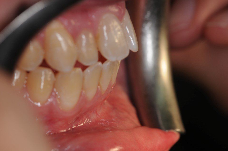
 Igiene Orale
Video Testimonianza 



















